CÁNCER GÁSTRICO
El Cáncer Gástrico es uno de los tumores malignos más frecuentes en El Salvador, El cual es el responsable de numerosas causas de defunciones al año, la incidencia se mantiene estable.
El Cáncer Gástrico uno de los más frecuentes no sólo en El Salvador sino en la mayoría de los países de Latinoamérica, así como en Japón.
La importancia de la curación reside en un diagnostico oportuno ya que si se diagnostica en fase temprana es completamente curable.
La importancia de la Endoscopía, es el método que empleamos para hacer un diagnóstico sumamente exacto, con el advenimiento de los vídeo endoscopios computarizados de alta resolución, se obtienen imágenes sumamente nítidas, obteniendo así una verdadera película a colores de los órganos internos la cual se archiva en cintas de vídeo de diversos formatos como el VHS, UMATIC, BETACAM, DVD O DIGITAL.
La Vídeo Endoscopia del Aparato Digestivo Superior: La cual detectamos enfermedades del esófago, estómago y del duodeno.
El CÁNCER GÁSTRICO
| 1. | Importancia de un Diagnostico a tiempo (Oportuno). El cáncer gástrico en etapa temprana es curable versus la alta incidencia de mortalidad en el cáncer gástrico avanzado. |
| 2. | El cáncer gástrico temprano puede curarse con un procedimiento que se denomina MUCOSECTOMIA ENDOSCOPICA (El cáncer gástrico temprano solo invade la mucosa y la submucosa), en la cual se extrae un bloque de mucosa y submucosa. |
| 3. | Para tener la certeza de que es temprano se necesita un examen altamente especializado que se denomina ENDOSONOGRAFIA RADIAL, ya contamos con dicho equipo en nuestra clínica único en la República de El Salvador. |
| 4. | LA ENDOSONOGRAFIA, es la combinación de ENDOSCOPIA con ULTRASONOGRAFIA RADIAL, con la cual se puede medir profundidades, se observan las capas gástricas como son: LA MUCOSA, LA SUBMUCOSA, LA MUSCULARIS Y LA SEROSA, incluyendo los GANGLIOS ADYACENTES, también tiene una amplia gama de utilidad clínica. |
| 5. | El diagnostico se realiza por medio de la ENDOSCOPIA o VIDEOENDOSCOPIA del aparato digestivo. |
| 6. | Se recomienda este estudio de ENDOSCOPIA a personas mayores de 40 años como un método de diagnostico, cada dos y medio años por la alta incidencia de este cáncer en nuestro país con o sin síntomas. |
| 7. | Como casi todos los canceres en sus inicios son silenciosos y no causan síntomas. |
-
Cáncer Gástrico:
Se observa un tumor en forma de dona ulcerada que ha obstruido el antro.
Clic aquí para descargar el video.
-
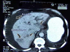
Tomografía axial de paciente con adenocarcinoma gástrico avanzado:
Se observa ascitis y metástasis hepáticas., lo que significa que dicho cáncer ya esta diseminado, encontrándose en fase muy avanzada.
-
Diagrama:
Este diagrama muestra las diferentes formas del carcinoma gástrico temprano el cual es solo limitado a mucosa o sub mucosa.
-
Paciente Femenino de 62 años:
Quien fue tratada por adolecer de anemia por un año sin hacerle ningún estudio, solamente le inyectaban hierro, por vez primera acude a la consulta con historia de haber perdido más de 20 libras y dolor abdominal acompañado de vómitos se le procedió a practicar el estudio de endoscopia detectándosele un intenso carcinoma del antro gástrico. El día de dicho estudio fue unas horas antes del gran terremoto el 13 de Enero 2001.
-
Paciente Masculino de 51 Años:
Hermano de prestigioso Cirujano Pediatra de El Salvador. El cual me solicita que le practique este estudio, le diagnosticamos este carcinoma obstructivo, la imagen endoscópica de control, Fue después de un año de habérsele diagnosticado por lo que Se le había practicado una derivación en omhmeda por haber sido irresecable al intento quirúrgico es de notar que esta imagen endoscópica es después de haber recibido quimioterapia y radiaciones con Cobalto.
-
Derivación en omehda:
Mismo caso anterior.
-
Carcinoma que obstruye el antro gástrico
-
Carcinoma el cual obstruye el antro gástrico.
-
Sangramiento del tubo digestivo superior por carcinoma del fondo:
Paciente fue referido de un colega de la Ciudad de Sonsonate.
-
Carcinoma del antro en etapa temprana.
-
Paciente Femenino de 78 años:
Carcinoma del antro con células en anillo de sello, se observa reflujo biliar.
-
Paciente Masculino de 73 años:
Quien presenta adenocarcinoma ulcerado del antro e incisura angularis.
-
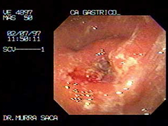
Paciente Masculino de 50 años:
Con carcinoma obstructivo del antro Gástrico.
-
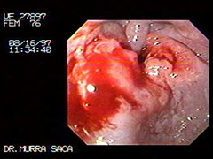
Paciente Femenino de 76 años:
Quien presenta adenocarcinoma del cardias.
-
Imagen del cardias, Paciente Masculino 69 años:
Con disfagia progresiva, perdida de peso 20 libras y sialorrea, presenta Carcinoma del cardias y fondo, ver imagenes siguientes.
-
Fondo por retroflexión, mismo paciente de fotografía anterior:
-
Mismo paciente de las dos fotografías anteriores:
Se observan bandas por infiltración carcinomatosas.
-
Paciente femenina de 35 años:
Consulta por dolor abdominal de dos meses de evolución, pérdida de peso e ictericia, vómitos de contenido alimenticio con fetidez. Dicha paciente había emigrado hacia los Estados Unidos de Norte América, en sus principios fue diagnosticada como Hepatitis viral A, manejada ambulatoriamente. Pero su cuadro empeoraba por lo que decidió regresar a su país de origen El Salvador.
-
Fotografía del caso anterior:
Carcinoma Gástrico que ha infiltrado toda la cámara gástrica, se observa el cardias por retroflexión el cual es infiltrado por dicho carcinoma parte negra es el Endoscopio.
-
Fotografía del mismo caso de las fotos anteriores:
Se observa el extenso carcinoma que invade el Cuerpo Gástrico.
-
Antro invadido por el extenso carcinoma del mismo caso de las fotografías anteriores:
-
Imagen Endoscópica de extenso carcinoma obstructivo masculino 60 años:
-
Imagen endoscópica del mismo paciente descrito anteriormente con extenso carcinoma de cuerpo y antro.
-
Paciente Femenino de 75 años:
Con imagen endoscópica de carcinoma del cuerpo gástrico. Se observa el endoscopio en retroflexión.
-
Femenino de 67 años con neoplasia del antro pre pilorico.
-
Imagen endoscópica de un Garcinoma del Antro Gástrico.
-
Paciente Masculino de 61 años:
Carcinoma del antro que invade hasta casi la incisura angularis, en dicha estructura hay una úlcera y varias en la curvatura menor.
-
Carcinoma del cardias gástrico:
Hacía un mes a este diagnostico presento un sangramiento del tubo digestivo superior por lo que fue ingresado a un instituto de seguro social el diagnostico de alta fue de gastritis erosiva, el paciente siguió mal de salud por lo que pidió una segunda opinión.
Nota: Después de una endoscopia de emergencias por un sangramiento activo es necesario practicar este estudio por segunda vez ya que la sangre impide visualizar algunas patologías.
-
Mismo caso anterior, el carcinoma se aprecia por la maniobra de retroflexión.
-
Paciente Masculino de 72 años:
Quien ha tenido larga historia y tratamientos multiples para dispepsia inicio sintomatología obstructiva por lo que consultan con medico general, quien inmediatamente me localiza vía telefónica para que le practicáramos este estudio. Extenso Carcinoma Gástrico que obstruye antro e infiltra extensamente el cuerpo y fondo.
-
Foto de vídeo endoscopia:
Cáncer Gástrico en etapa temprana, se observa una nodulacion hacia la izquierda y una pequeña ulceración da la impresión de esta lesión temprana se ha degenerado de un pólipo, la teoría adenoma carcinoma.
Ver: ¿Cómo se forma un cáncer?.
La lesión midió tres milímetros en el estudio histologico. -
Carcinoma de gran tamaño del cuerpo gástrico:
-
Tableta en el cardias esófago paciente femenina de 57 años de edad:
Quien había tenido antecedente de dos endoscopías previas en distintas fechas en un hospital nacional y otra endoscopía por médico privado, la tarde anterior del examen se le detectó una infección severa de vías urinarias, se le prescribió Ciprofloxacina oral. Dicha tableta fue ingerida a las 3 de la mañana, la hora de este examen aparece alas 9 horas once minutos, la tableta todavía está en el esófago lo cual no es normal ya que los alimentos y medicamentos pasan de inmediato al estómago por lo cual se sospecha que hay enfermedad en esta región. Ver fotografías siguientes.
-
Misma paciente de foto de arriba, Carcinoma Gástrico ulcerado del fondo por retroflexión.
-
Carcinoma Ulcerado del cuerpo gástrico.
-
Paciente Masculino de 51 Años:
Hermano de prestigioso Cirujano Pediatra de El Salvador. El cual me solicita que le practique este estudio, le diagnosticamos este carcinoma obstructivo, la imagen endoscópica de control, Fue después de un año de habérsele diagnosticado por lo que Se le había practicado una derivación en omhmeda por haber sido irresecable al intento quirúrgico es de notar que esta imagen endoscópica es después de haber recibido quimioterapia y radiaciones con Cobalto.
-
Paciente Masculino de 51 Años:
Hermano de prestigioso Cirujano Pediatra de El Salvador. El cual me solicita que le practique este estudio, le diagnosticamos este carcinoma obstructivo, la imagen endoscópica de control, Fue después de un año de habérsele diagnosticado por lo que Se le había practicado una derivación en omhmeda por haber sido irresecable al intento quirúrgico es de notar que esta imagen endoscópica es después de haber recibido quimioterapia y radiaciones con Cobalto.
-
Paciente Masculino de 51 Años:
Hermano de prestigioso Cirujano Pediatra de El Salvador. El cual me solicita que le practique este estudio, le diagnosticamos este carcinoma obstructivo, la imagen endoscópica de control, Fue después de un año de habérsele diagnosticado por lo que Se le había practicado una derivación en omhmeda por haber sido irresecable al intento quirúrgico es de notar que esta imagen endoscópica es después de haber recibido quimioterapia y radiaciones con Cobalto.
-
Paciente Masculino de 51 Años:
Hermano de prestigioso Cirujano Pediatra de El Salvador. El cual me solicita que le practique este estudio, le diagnosticamos este carcinoma obstructivo, la imagen endoscópica de control, Fue después de un año de habérsele diagnosticado por lo que Se le había practicado una derivación en omhmeda por haber sido irresecable al intento quirúrgico es de notar que esta imagen endoscópica es después de haber recibido quimioterapia y radiaciones con Cobalto.
-
Paciente Masculino de 51 Años:
Hermano de prestigioso Cirujano Pediatra de El Salvador. El cual me solicita que le practique este estudio, le diagnosticamos este carcinoma obstructivo, la imagen endoscópica de control, Fue después de un año de habérsele diagnosticado por lo que Se le había practicado una derivación en omhmeda por haber sido irresecable al intento quirúrgico es de notar que esta imagen endoscópica es después de haber recibido quimioterapia y radiaciones con Cobalto.
-
Paciente Masculino de 51 Años:
Hermano de prestigioso Cirujano Pediatra de El Salvador. El cual me solicita que le practique este estudio, le diagnosticamos este carcinoma obstructivo, la imagen endoscópica de control, Fue después de un año de habérsele diagnosticado por lo que Se le había practicado una derivación en omhmeda por haber sido irresecable al intento quirúrgico es de notar que esta imagen endoscópica es después de haber recibido quimioterapia y radiaciones con Cobalto.
-
Paciente Masculino de 51 Años:
Hermano de prestigioso Cirujano Pediatra de El Salvador. El cual me solicita que le practique este estudio, le diagnosticamos este carcinoma obstructivo, la imagen endoscópica de control, Fue después de un año de habérsele diagnosticado por lo que Se le había practicado una derivación en omhmeda por haber sido irresecable al intento quirúrgico es de notar que esta imagen endoscópica es después de haber recibido quimioterapia y radiaciones con Cobalto.
-
Paciente Masculino de 51 Años:
Hermano de prestigioso Cirujano Pediatra de El Salvador. El cual me solicita que le practique este estudio, le diagnosticamos este carcinoma obstructivo, la imagen endoscópica de control, Fue después de un año de habérsele diagnosticado por lo que Se le había practicado una derivación en omhmeda por haber sido irresecable al intento quirúrgico es de notar que esta imagen endoscópica es después de haber recibido quimioterapia y radiaciones con Cobalto.
-
Paciente Masculino de 51 Años:
Hermano de prestigioso Cirujano Pediatra de El Salvador. El cual me solicita que le practique este estudio, le diagnosticamos este carcinoma obstructivo, la imagen endoscópica de control, Fue después de un año de habérsele diagnosticado por lo que Se le había practicado una derivación en omhmeda por haber sido irresecable al intento quirúrgico es de notar que esta imagen endoscópica es después de haber recibido quimioterapia y radiaciones con Cobalto.
-
Paciente Masculino de 51 Años:
Hermano de prestigioso Cirujano Pediatra de El Salvador. El cual me solicita que le practique este estudio, le diagnosticamos este carcinoma obstructivo, la imagen endoscópica de control, Fue después de un año de habérsele diagnosticado por lo que Se le había practicado una derivación en omhmeda por haber sido irresecable al intento quirúrgico es de notar que esta imagen endoscópica es después de haber recibido quimioterapia y radiaciones con Cobalto.
-
Paciente Masculino de 51 Años:
Hermano de prestigioso Cirujano Pediatra de El Salvador. El cual me solicita que le practique este estudio, le diagnosticamos este carcinoma obstructivo, la imagen endoscópica de control, Fue después de un año de habérsele diagnosticado por lo que Se le había practicado una derivación en omhmeda por haber sido irresecable al intento quirúrgico es de notar que esta imagen endoscópica es después de haber recibido quimioterapia y radiaciones con Cobalto.
-
Paciente Masculino de 51 Años:
Hermano de prestigioso Cirujano Pediatra de El Salvador. El cual me solicita que le practique este estudio, le diagnosticamos este carcinoma obstructivo, la imagen endoscópica de control, Fue después de un año de habérsele diagnosticado por lo que Se le había practicado una derivación en omhmeda por haber sido irresecable al intento quirúrgico es de notar que esta imagen endoscópica es después de haber recibido quimioterapia y radiaciones con Cobalto.
-
Paciente Masculino de 51 Años:
Hermano de prestigioso Cirujano Pediatra de El Salvador. El cual me solicita que le practique este estudio, le diagnosticamos este carcinoma obstructivo, la imagen endoscópica de control, Fue después de un año de habérsele diagnosticado por lo que Se le había practicado una derivación en omhmeda por haber sido irresecable al intento quirúrgico es de notar que esta imagen endoscópica es después de haber recibido quimioterapia y radiaciones con Cobalto.
-
Paciente Masculino de 51 Años:
Hermano de prestigioso Cirujano Pediatra de El Salvador. El cual me solicita que le practique este estudio, le diagnosticamos este carcinoma obstructivo, la imagen endoscópica de control, Fue después de un año de habérsele diagnosticado por lo que Se le había practicado una derivación en omhmeda por haber sido irresecable al intento quirúrgico es de notar que esta imagen endoscópica es después de haber recibido quimioterapia y radiaciones con Cobalto.
-
Paciente Masculino de 51 Años:
Hermano de prestigioso Cirujano Pediatra de El Salvador. El cual me solicita que le practique este estudio, le diagnosticamos este carcinoma obstructivo, la imagen endoscópica de control, Fue después de un año de habérsele diagnosticado por lo que Se le había practicado una derivación en omhmeda por haber sido irresecable al intento quirúrgico es de notar que esta imagen endoscópica es después de haber recibido quimioterapia y radiaciones con Cobalto.
El Cáncer Gástrico es curable siempre y cuando se diagnostique en etapas tempranas, la clasificación japonesa del cáncer gástrico es la empleada para el carcinoma temprano, este debe de ser limitado a la mucosa o sub mucosa. Hay que destacar que las capas de las paredes gástricas son:
1. La mucosa
2. La Sub Mucosa
3. La muscularis
4. La serosa
Es importante destacar que la endoscopia no mide profundidad de invasión sobre los tejidos si no que un examen sumamente especializado como es la Endo Sonografía Radial, es un equipo que lo hemos adquirido recientemente para dar mejor servicio a nuestros pacientes ya que por su elevadísimo costo, pocas clínicas en el mundo cuentan con esta moderna tecnología.
Es importante destacar que en la actualidad un cáncer gástrico en etapas tempranas se puede resecar por medio de la endoscopia con la técnica conocida como mucosectomía endoscópica en la cual inyectamos una solución especial en los tejidos cancerosos, les causamos una elevación (edema) y con pinzas especiales les cortamos solamente la mucosa y sub mucosa y de esta manera podemos curar un cáncer gástrico en etapas tempranas. La mucosectomía endoscópica contamos con varios métodos alternos incluso en nuestra clínica contamos con un video endoscopio sumamente especializado para trabajo terapéutico de doble canal (normalmente los videos endoscopios solo tienen un canal de trabajo) por el cual podemos introducir dos pinzas especializadas de diferentes modelos y objetivos de corte, Láser Argon Plasma Coagulador, inyectores, pinzas de electrocauterio quirúrgico etc.


