PARÁSITOS
En La República de El Salvador como en otros países tropicales las parasitosis, es un problema frecuentísimo de salud pública y de consulta médica por la amplia sintomatología que producen.
Las estadísticas más del ochenta por ciento de la población se encuentra afectada, aunque la mayoría permanecen asintomático, los síntomas que pueden ocasionar: dolores abdominales inespecíficos, diarrea, anemia, hasta graves complicaciones como perforación y obstrucción intestinal.
Los parásitos más frecuentes en El Salvador son: La giardia lambia, la entomoeba histolitica, los tricocéfalos, los enterovirus vermiculares ( oxiuros) los áscaris lumbricoides, la uncinaria, las taenias solium y saginata, las taenias enanas, el estrongiloides esterocalis, el balantidium coli y blastosistis hominis.
Las condiciones de contaminación, la falta de cultura de algunas personas, el hacinamiento el agua contaminada, los vectores como las moscas son factores que ocasionan la alta prevalecía.
Videos Relacionados:
Colonoscopia: Parásitos Gastrointestinales
En Nuestro atlas en línea hay más de 4000 videos de endoscopia gastrointestinal, para ir al atlas, en el capítulo de amebiasis presionar sobre la imagen.
La Entamoeba Histolitica es un parasitosis común en nuestro país, pero afortunadamente se ha establecido que solo el diez por ciento son patógenas, (dañinas) esto lo correlacionamos con los estudios de Colonoscopia, en la mayoría que los exámenes generales de heces reportan la entomoeba histolitica pero el examen de colon completo no se encontraron signos o lesiones de este parásito, las lesiones que la E.histolitica provoca a nivel del colon van desde lesiones eritematosas dimitutas, ulceras de diversos tamaños en botón de camisa, hasta verdaderas complicaciones que pueden amenazar la vida de un ser humano como son la perforación intestinal, y la invasión a tejidos extraintestinales como el absceso hepático amebiano y sobretodo cuando se perfora al pulmón. Otra complicación de la amebiasis es el ameboma del colon que puede confundir al clínico con un tumor, las moscas juegan un papel importante en la trasmisión de este parásito el cual es exclusivo del ser humano, cuando una persona esta contaminada significa que de algún modo ha ingerido directa o indirectamente material fecal humano. El cual es el reservorio de esta parasitosis intestinal. La diarrea y la disentería por amebas es otra importante enfermedad desarrollada por la amebiasis en las cuales juegan un factor importante las bacterias que contaminan las lesiones previas provocadas por dichas amebas a nivel del colon los retorcijones, el pujo y el tenesmo Es importante definir estos síntomas ya que el pujo significa la sensación de defecar pero sin haber heces Y el tenesmo, es la persistencia de la sensación de defecar después de haber evacuado las heces Lo que se traduce clínicamente que hay inflamación a nivel rectal, estos mismos síntomas pueden aparecer por cualquier afección a nivel del recto como un tumor benigno o maligno ver nuestro capitulo Cáncer de Colon y Recto. Tambien es frecuente observar costumbres eroneas de que algun paciente con sangramiento rectal o con diarrea se le administren multiples tratamientos empiricos a repeticiones contra amebiasis sin un diagnostico certero muchas veces estos pacientes el problema resulto ser un tumor en el colon o recto y el tratamiento contra las amebas demoro un tratamiento oportuno contra el cáncer de colon o recto. En nuestro medio tambien es frecuente observar neurosis de personas que se obsecionan pensando que cada sintomatologia que ellas padecen son atribuibles a la amebas.
En Nuestro atlas en línea hay más de 4000 videos de endoscopia gastrointestinal, para ir al atlas, en el capítulo de párasitos presionar sobre la imagen

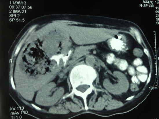
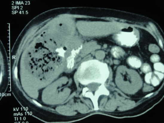
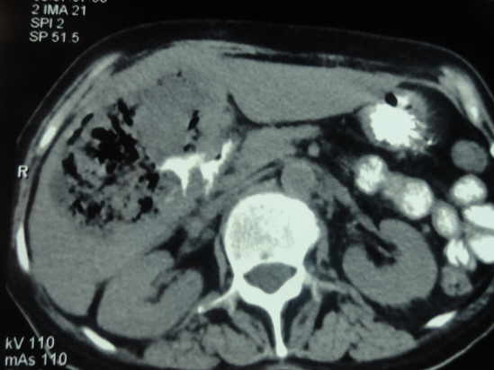
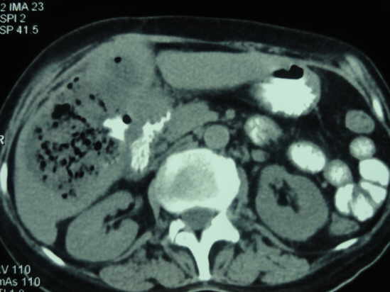
Tomografía Axial Computarizada de Absceso Hepático Amebiano
TAC abdominal con contraste es la técnica de elección para el diagnóstico de los abscesos hepáticos

Tomografía Axial Computarizada de Absceso Hepático Amebiano
La sintomatología del absceso hepático amibiano se ha englobado en lo que se denomina la “triada clásica”: hepatomegalia, dolor en hipocondrio derecho y fiebre, asociados a leucocitosis en presencia de neutrofilia y pruebas serológicas para E. histolytica positivas.

Tomografía Axial Computarizada de Absceso Hepático Amebiano

Tomografía Axial Computarizada de Absceso Hepático Amebiano
Colonoscopia de Colitis Amebiana
La Giardia Lambia es otra parasistosis frecuentísima en El Salvador, en las estadísticas de este país esta en el primer lugar, esto es debido a la gran contaminación de alimentos sobre todo los que se consumen crudos como son los vegetales para ensaladas y del agua, el agua que entrecomillas se cree que es potable servidas por cañerías, se procesa a base de cloro en una forma inadecuada, deberíamos tener un estudio comparativo entre los países del tercer mundo y los desarrollados en cuanto al proceso de potabilidad de dicho vital liquido esto es para superar las deficiencias de potabilidad del agua que existe en los países del tercer mundo. La sintomatología causada por este parásito es amplia la cual puede ser desde no síntomas hasta diarreas explosivas liquidas, sobre todo hay que destacar los dolores abdominales inespecíficos causados por la Duodenitis, el intestino delgado en todo su trayecto es afectado por este parásito el cual puede causar mala absorción intestinal causando flatulencias e intolerancia transitoria a los lácteos.
Las recomendaciones para eliminar estos parásitos mencionados anteriormente: ingerir agua hervida o embotellada, desinfectar los ingredientes de ensaladas con sustancias especiales que se adquieren comercialmente a base de yodo, pero debe de ser dos horas, ya que se ha demostrado la resistencia de la ameba, para ejemplificar dicha resistencia hay estudios las cuales han vivido dichas amebas en una limonada y en un refrigerador por mas de once días. El Enterovious Vermicularis conocido como Oxiuros, el cual vive en el intestino grueso sobre todo en el ciego su importancia clínica reside en que las hembras depositan sus huevos en el recto del paciente por la noche ocasionándole pruritos rectal (Picazón) hay que destacar que por lo general no se detectan por el simple examen de heces.
Las siguientes son imagénes y videos de endoscopia gastrointestinal.
Trichuriasis; Trichuris.
Se observa un tricocéfalo de sexo femenino el cual tiene sus movimientos característicos, fue encontrado en el ciego, donde es el hábitat en el humano.


El Tricocéfalo mide de 3 a 5 centímetros las hembras son más largas que los machos. La punta del gusano se clava en la mucosa del intestino y provoca una acción destructiva que ocasiona dolor y diarrea con estrías de sangre. Ademas, por el esfuerzo de tantas evacuaciones que tiene el nińo, se provoca la salida del recto (prolapso) a través del ano. Cada tricocéfalo adulto consume al día .005 ml de sangre.
Otro parásito es observado en el agujero del apéndice.
Los tricocéfalos pueden producir apendicitis parasitarias El tricocéfalo produce ulceraciones en la mucosa apendicular, inflamación y a veces hemorragia.

Los tricocéfalos adultos viven en el ciego, donde se unen a la mucosa por su extremo anterior. Las hembras ponen de 3 mil a 10 mil huevos al día, los cuales tienen una forma característica. Cuando los humanos ingieren huevecillos, las larvas brotan de ellos en el intestino delgado superior,
penetran a las vellosidades intestinales y dan lugar a la forma adulta en 30 a 90 días. Los tricocéfalos adultos viven de 4 a 8 ańos.

La unión de algunos tricocéfalos a la mucosa no produce síntomas clínicos. Sin embargo cuando la carga de gusanos adultos aumenta, la mucosa se inflama y queda edematosa. Cada tricocéfalo adulto consume al día .005 ml de sangre y las cargas muy altas de este parásito producen una fuerte anemia. La hemorragia en los sitios en que los parásitos están unidos también contribuye a la anemia en casos
grandes. Cuando el recto queda edematoso, el pujo durante la defecación causan prolapso rectal. Algunas veces algunos parásitos adultos invaden el apéndice y causan apendicitis, en ciertos casos se produce diarrea secundaria a invasión bacteriana cuando se obtienen muchos tricocéfalos.
Parte posterior del tricocéfalo femenino.
El desarrollo de los síntomas depende de la cantidad de gusanos/huevos. Las infestaciones leves pueden ocasionar pocos o ningún síntoma, mientras que las infestaciones mayores pueden provocar diarrea sanguinolenta, deficiencia de hierro, anemia y en ocasiones prolapso rectal.

Los gusanos adultos residen en el colon y el ciego, con las porciones anteriores ensartadas en la mucosa superficial. Cada día las hembras adultas depositan miles de huevos que se eliminan por las heces y maduran en el suelo. Una vez ingeridos, los huevos infecciosos se rompen en el duodeno, liberando larvas que maduran antes de emigrar hacia el intestino grueso. El ciclo vital completo dura
alrededor de tres meses y los gusanos adultos pueden vivir varios ańos. La mayor parte de las infecciones producidas por el tricocéfalo Trichuris trichiura son asintomáticas, aunque las infestaciones masivas producen síntomas digestivos.

La mayor parte de las infecciones producidas por el tricocéfalo Trichuris trichiura son asintomáticas, aunque las infestaciones masivas producen síntomas digestivos. Al igual que los demás helmintos transmitidos por contaminación del suelo, el tricocéfalo está muy extendido por el trópico y el subtrópico y su incidencia es máxima entre los nińos pobres. Una ancha sección posterior y una fina porción anterior proporcionan la forma de látigo característica de Trichuris.

Corte longitudinal de Trichuris trichura mostrando huevos en el útero. Tricocéfalo de sexo femenino encontrado en el ciego. Una hembra de este parasito depone entre 3000 y 20.000 huevos por día.
Vista mejor detallada de huevos en el útero.
El macho de Trichuris trichuria tiene un solo testículo; la hembra un solo ovario.
Fisiopatología
La principal lesión producida por los tricocéfalos proviene de la acción mecánica al introducirse los parásitos adultos mediante su lanceta retráctil en la mucosa colónica; de este modo se produce una herida traumática que causa inflamación local, edema y hemorragia.
Huevos con la forma típica de Trichuris trichura, operculados en los extremos.
Vista 10x de los huevos en el útero.
El hombre se infecta al consumir agua o alimentos contaminados con huevos embrionados; estos
sufren ablandamiento de sus membranas y se liberan las larvas en el intestino delgado, penetran las glándulas de Lieberkühn, en donde tienen un corto periodo de desarrollo, para luego pasar al colon; allí maduran y viven aproximadamente 3 ańos. Los parásitos adultos se enclavan en la mucosa del intestino grueso ayudados por una lanceta retráctil que les permite profundizar en la mucosa hasta quedar fuertemente adheridos.
Vista de los huevos 4 x.
Ciclo biológico.
Los huevos son expulsados con la materia fecal y contaminan todas las superficies; si las condiciones de humedad y pH son favorables, a los10 días desarrollan un embrión que se convierte en larva, la forma infectante del parásito. La ingesta de estos huevos en alimentos o fomites contaminados con heces fecales, los lleva hasta el intestino delgado donde su cubierta se digiere y es expulsada la larva que penetra a la región glandular de la mucosa intestinal donde continua su crecimiento; luego pasa al intestino grueso (alojamiento definitivo) y comienza la fecundación.
Mucosa del ciego erosionada, con inflamación crónica y con leves hemorragias superficiales, 10x.
La misma microfotografía de mucosa del colon a menor aumento 4x
Imagen y video de endoscopia del colon con úlcera en boton de camisa
Ulcera en botón de camisa ocasionada por amebiasis del recto se observa ondulación y fibrina, el paciente había tenido una verdadera enterorragia color oscura. Para mayores detalles endoscopicos favor de descargar el video presionando sobre la imagen luego esperar a que se descarge completamente si su reproductor de video es el windows media configurarlo en repetir, si usted desea observarlo en pantalla completa presionar Alt y Enter.

Ameboma del colon sigmoides, corresponde al caso descrito en la imagen anterior, antiguamente se creía que los amebomas eran exclusivos del ciego y colon ascendente
Diminutas ulceraciones con bordes eritematosos del colon ocasionados por infección amebiana.
Imagen de colonoscopia que corresponde al paciente descrito anteriormente.
Paciente masculino de 45 años con ulceras del recto por infección amebiana.

Mismo paciente descrito anteriormente, se observa la imagen de colonoscopia de la línea pectinea, la cual es ulcerada por amebiasis intestinal.

Trichuris trichuris, tricocéfalo del ciego , el cual fue un hallazgo ocasional en un examen de colonoscopia completa, se observa la inflamación y sangramiento ocasionado por este parásito, el cual puede ocasionar anemia leve y esta relacionado con el prolapso rectal en niños.
Hipertrofia de las glándulas de brunner, bulbo duodenal característico de la infección de giardia lambia.
Ascaris lumbricoides, hallazgo ocasional del colon descendente, se observan divertículos.
Mismo paciente descrito anteriormente.

Ciego: amebiasis intestinal se observan multiples lesiones producida por la entomoeba histolitica en medio de la imagen se observa el agujero de la apéndice en el cual se observan lesiones similares.
Mismo caso anterior , el agujero de la apéndice con ulceras por amebiasis.
Videos Relacionados:
Colonoscopia: Parásitos Gastrointestinales
Estamos ubicados en el Edificio Centro Scan, colonia medica San Salvador ver google maps presionar sobre estas letras



















